徳永歯科医院
痛みの少ない インプラントと矯正専門の歯科医院
印刷用表示 |
テキストサイズ 小 |
中 |
大 |
トップページ
診療内容/休診日
院内紹介
交通/地図
院長挨拶
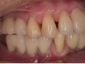
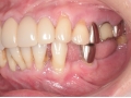
症例1
治療前
治療後
症例2
治療前
治療後
インプラント治療について
インプラント治療とは?
インプラントの症例写真
インプラント治療の流れ
インプラントQ&A
矯正治療について
矯正装置の種類
矯正の症例写真
小児矯正の特徴
矯正Q&A