徳永歯科医院



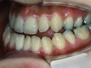
①出っ歯(上顎前突)

治療前

E.jpg
D.jpg
C.jpg

治療後

H.jpg
G.jpg
F.jpg

②受け口(反対咬合)

治療前

K.jpg
J.jpg
I.jpg

治療後

N.jpg
M.jpg
L.jpg

③ガタガタの歯(乱ぐい歯)

治療前

Q.jpg
P.jpg
O.jpg

治療後

T.jpg
S.jpg
R.jpg

④前歯が咬み合わない(開咬)

治療前

W.jpg
V.jpg
U.jpg

治療後

Z.jpg
Y.jpg
X.jpg